Confidence in Every Conversation: The Social Benefits of Veneers in San Francisco

Life in San Francisco is full of social events, meetings, and conversations that can shape your confidence. Many people in the city visit Me Dental SF for veneers San Francisco to help them feel more comfortable smiling and speaking in every situation. A healthy, attractive smile can make personal and professional interactions easier. Through advanced cosmetic dentistry and careful planning, Me Dental SF helps patients achieve beautiful smiles that look natural and last for years.
How a Veneer Can Improve Daily Confidence
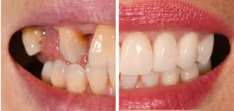
A veneer is a thin shell that covers the front part of a tooth to improve its look and shape. It hides discoloration, chips, and gaps while keeping most of your natural tooth enamel. Because veneers are thin, they blend smoothly with your natural teeth. When veneers are made by an experienced cosmetic dentist, they reflect light like real enamel and create a consistent tone across your smile.
People often notice that after getting dental veneers, they smile more and feel at ease in daily conversations. Whether you are talking during a meeting or meeting new people in the Bay Area, a natural-looking tooth veneer can make you appear more open and confident.
Everyday Benefits of Veneers in San Francisco
Choosing veneers in San Francisco can do more than improve how your teeth look. Many patients report positive changes in how they feel about themselves and how others respond to them. In a city known for networking and first impressions, veneers look professional and natural.
After your dental treatment, you may find yourself speaking more freely, laughing comfortably, and smiling in photos. The confidence that comes from having a beautiful smile can influence both social and work settings. Unlike other cosmetic treatment options, veneers provide fast and long-lasting results that don’t require major changes to your tooth structure.
How Porcelain Veneers in San Francisco Create a Perfect Smile
Porcelain veneers in San Francisco are popular because they resist stains and reflect light like natural veneers. These porcelain restorations are shaped and colored to fit your mouth perfectly. The dental team at Me Dental SF uses advanced dental materials to match the shade of your existing teeth.
The best porcelain veneers also protect damaged teeth and cover small dental imperfections such as cracks or uneven surfaces. Because veneers are created from high-quality porcelain dental veneers, they are strong yet thin enough to look natural. With proper care, your new veneers can last for many years, making them a smart and lasting cosmetic dental choice.
The Role of the Dentist in Your Smile Makeover
A skilled dentist in San Francisco is essential to achieving the results you want. At Me Dental SF, every cosmetic dentist focuses on precision, balance, and function. Before placing veneers, your dentist will check your dental conditions, enamel, and bite alignment to make sure veneers are the right solution for your needs.
Some patients may benefit from prepless veneers or prepless porcelain veneers, which require little to no tooth preparation. These options help preserve natural tooth enamel while improving appearance. Others may need traditional veneers, dental bonding, or composite materials to repair more serious dental issues. The best cosmetic dentist will guide you through all available options during your consultation.
Addressing Questions About Porcelain Veneers
Patients often have questions about porcelain veneers before starting their cosmetic treatment. Common concerns include the cost of porcelain veneers, how long the process takes, and how the final result will look.
During a visit to Me Dental SF, your cosmetic dentist in San Francisco will discuss each step of your dental restoration and explain what to expect from your new smile. You’ll also learn how to care for your veneers to maintain their color and strength. The dental office provides guidance on follow-up visits and regular dental care to ensure your veneers in San Francisco stay in good condition.
How Modern Dentistry Enhances Natural Teeth
Modern cosmetic dentistry has made it possible to improve smiles without removing much of the surface of your teeth. Veneers are created using composite bonding or porcelain restorations that enhance your natural teeth. Modern dentistry allows for custom veneers that fit your mouth perfectly, reducing discomfort and recovery time.
For people with misaligned teeth, dental imperfections, or cosmetic concerns, veneers can be a more comfortable option than orthodontic procedures. San Francisco porcelain veneers are shaped to create a balanced smile without harming existing teeth or affecting the function of your bite.
From Consultation to a Beautiful Smile
At your first consultation, your cosmetic dentist will review your smile goals and create a plan that fits your budget and schedule. If needed, temporary veneer placement can help you preview how your new smile will look before the final porcelain dental veneers are attached.
Your dental work may include other restorative and cosmetic procedures such as teeth whitening, dental crowns, or a dental implant if tooth loss is present. The goal is to create a balanced and natural-looking smile that suits your face and personality. The top cosmetic dentist at Me Dental SF will ensure your cosmetic dental results feel comfortable and look authentic.
Why Choose an AACD-Accredited Dentist
When searching for the best dentist or a leading cosmetic dentist in San Francisco, look for an AACD-accredited dentist. The American Academy of Cosmetic Dentistry holds its members to high standards for dental care, design, and precision.
An ACD-accredited dentist understands the art and science behind a smile makeover and uses advanced techniques for porcelain restorations. This ensures your best porcelain veneers in San are not only visually appealing but also long-lasting and comfortable. Choosing a qualified cosmetic dentist guarantees that your dental treatment supports both health and appearance.
Building Confidence Through Cosmetic Dental Work
Veneers are more than just a popular cosmetic dental option—they’re a form of dental restoration that helps people rebuild self-assurance. Whether you need to fix dental problems like chipped or damaged teeth or you simply want a perfect smile, veneers can give you the boost you need.
Your dental office in San Francisco Dental can combine veneers with composite bonding, dental crowns, or other dental materials for a full smile makeover. With help from the best cosmetic dentist, you’ll notice a difference not only in how you look but also in how you feel during social interactions.
Experience the Social Benefits with Me Dental SF
If you’re thinking about cosmetic treatment to enhance your smile, Me Dental SF offers the best veneers and personalized care in the Bay Area. Their experienced dental team provides advanced options like natural porcelain veneers and prepless veneers that preserve your natural tooth enamel while improving appearance.
Visit Me Dental San Francisco, a trusted dentist in San Francisco, for your consultation today. Their focus on precision, comfort, and artistry has made them one of the best cosmetic dentists in the region. With their help, you can achieve your perfect smile and enjoy the confidence that comes with a beautiful smile every day.

Me Dental
450 Sutter St RM 2307, San Francisco, CA 94108
415-4046-644
https://www.medentalsf.com/